tel 400-6027-270
Main Image
Anti-INTS10 兔多克隆抗体
¥1900
加入对比
货号: K1342582-100
预测分子量: 82 kDa
观测分子量: 70 kDa
亚细胞定位: 细胞核
别名: C8orf35,INT10,integrator complex subunit 10,INTS10
应用 | 种属
WB H,M,R
IHC/IF M
规格:
产品信息
蛋白质全称 整合复合体亚基10
别名 C8orf35,INT10,integrator complex subunit 10,INTS10
Uniprot ID Q8K2A7
免疫原 小鼠INTS10重组蛋白
抗体亚型 IgG
纯化方式 亲和纯化
亚细胞定位 细胞核
预测分子量./观测分子量. 82 kDa / 70 kDa
应用
WB 免疫印迹
物种:人,小鼠,大鼠
稀释比:1:2000-1:4000
阳性样品:—
IHC/IF 免疫组织化学/免疫荧光
物种:小鼠
稀释比:1:1000-1:2000
阳性样品:海马区, 睾丸
背景
Component of the Integrator (INT) complex, a complex involved in the small nuclear RNAs (snRNA) U1 and U2 transcription and in their 3'-box-dependent processing. The Integrator complex is associated with the C-terminal domain (CTD) of RNA polymerase II largest subunit (POLR2A) and is recruited to the U1 and U2 snRNAs genes. May be not involved in the recruitment of cytoplasmic dynein to the nuclear envelope by different components of the INT complex.
储存条件
储存条件:储存条件在:-20℃下储存一年, 避免反复冻融.
储存缓冲液:含0.15% ProClin300防腐剂, 100 μg/mL牛血清白蛋白和50%甘油的磷酸盐缓冲液.
图像
IHC检测INTS10蛋白(货号 K1342582).
样品: 小鼠海马区, 4%多聚甲醛 (货号KSG1101) 固定12-24小时.
抗原修复: 柠檬酸抗原修复液(干粉, pH 6.0) (KSG1201), 高压锅均匀喷气计时2分钟.
—抗: 1: 1500稀释, 4℃ 孵育过夜.
二抗: S-vision免疫组化多聚二抗(山羊抗兔),即用型 (货号KB3906), 室温孵育20分钟.
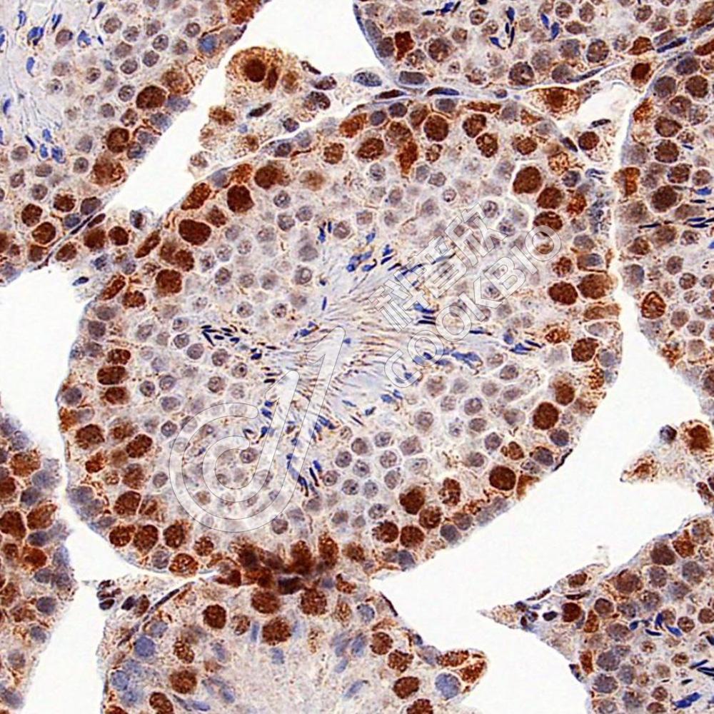
IHC检测INTS10蛋白(货号 K1342582).
样品: 小鼠睾丸, 4%多聚甲醛 (货号KSG1101) 固定12-24小时.
抗原修复: 柠檬酸抗原修复液(干粉, pH 6.0) (KSG1201), 高压锅均匀喷气计时2分钟.
—抗: 1: 1500稀释, 4℃ 孵育过夜.
二抗: S-vision免疫组化多聚二抗(山羊抗兔),即用型 (货号KB3906), 室温孵育20分钟.

需要技术支持?

如果您有任何问题或如果您在实验过程中遇到问题,或需要更详细的技术指导,请联系我们的技术支持团队
电话 400-6027-270

联系我们

如果您对我们的公司或产品有任何疑问,欢迎随时联系我们