tel 400-6027-270
Main Image
Anti-FGF21 兔多克隆抗体
¥1900
加入对比
货号: K1341139-100
亚细胞定位: 分泌型
别名: FGF-21,FGF21,UNQ3115,PRO10196
应用 | 种属
IHC/IF H
规格:
产品信息
蛋白质全称 成纤维细胞生长因子21
别名 FGF-21,FGF21,UNQ3115,PRO10196
Uniprot ID Q9JJN1
免疫原 KLH偶联的小鼠FGF21合成肽
抗体亚型 IgG
纯化方式 亲和纯化
亚细胞定位 分泌型
应用
IHC/IF 免疫组织化学/免疫荧光
物种:人
稀释比:1:1000-1:2000
阳性样品:肝
背景
Fibroblast growth factor 21 (FGF21), a member of the FGF superfamily, has emerged as an important metabolic regulator. FGF21 is produced in the liver, adipocytes and skeletal muscle and regulates glucose, energy and lipid metabolism. FGF21 is a stress-responsive hepatokine which is induced in the liver as a response to injury, regeneration, hepatocarcinogenesis and during kidney dysfunction. FGF21 is primarily metabolized in the kidney and renal secretion is the major route of FGF21 elimination. Its plasma levels increase according to the decline in renal function in patients with chronic and acute renal dysfunction.
储存条件
储存条件:储存条件在:-20℃下储存一年, 避免反复冻融.
储存缓冲液:含0.15% ProClin300防腐剂, 100 μg/mL牛血清白蛋白和50%甘油的磷酸盐缓冲液.
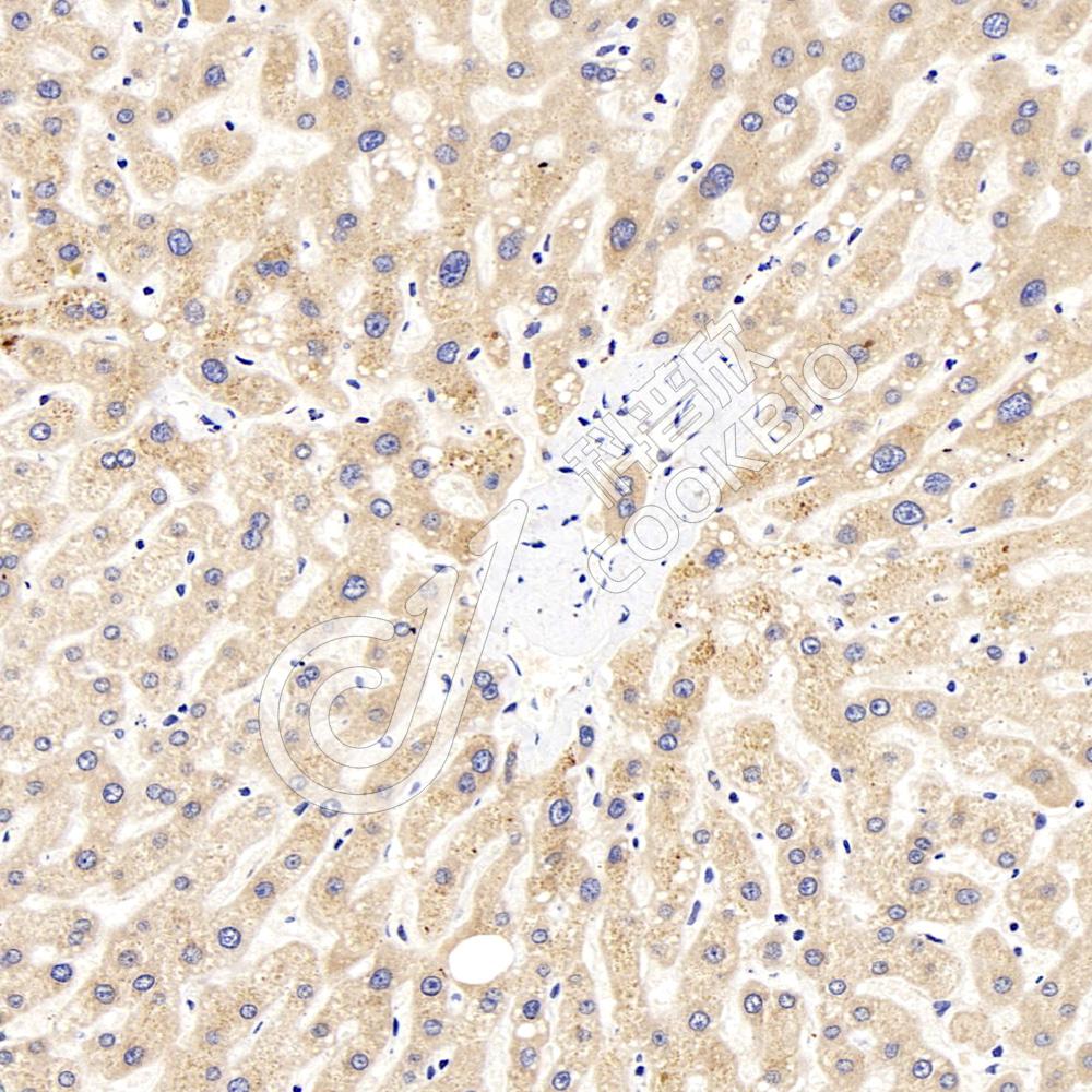
图像
IHC检测FGF21蛋白(货号 K1341139).
样品: 人肝, 4%多聚甲醛 (货号KSG1101) 固定12-24小时.
抗原修复: 柠檬酸抗原修复液(干粉, pH 6.0) (KSG1201), 98℃, 20分钟.
—抗: 1: 1500稀释, 4℃ 孵育过夜.
二抗: S-vision免疫组化多聚二抗(山羊抗兔),即用型 (货号KB3906), 室温孵育20分钟.
IHC检测FGF21蛋白(货号 K1341139).
样品: 人肝, 4%多聚甲醛 (货号KSG1101) 固定12-24小时.
抗原修复: 柠檬酸抗原修复液(干粉, pH 6.0) (KSG1201), 98℃, 20分钟.
—抗: 1: 1500稀释, 4℃ 孵育过夜.
二抗: S-vision免疫组化多聚二抗(山羊抗兔),即用型 (货号KB3906), 室温孵育20分钟.

需要技术支持?

如果您有任何问题或如果您在实验过程中遇到问题,或需要更详细的技术指导,请联系我们的技术支持团队
电话 400-6027-270

联系我们

如果您对我们的公司或产品有任何疑问,欢迎随时联系我们