tel 400-6027-270
Main Image
Anti-PDK3 兔多克隆抗体
¥1900
加入对比
货号: K1340455-100
预测分子量: 48 kDa
观测分子量: 45 kDa
亚细胞定位: 线粒体
别名: Pyruvate dehydrogenase kinase isoform 3,Pdk3,CMTX6,GS1-358P8.4
应用 | 种属
WB M,R
IHC/IF M,R
规格:
产品信息
蛋白质全称 线粒体丙酮酸脱氢酶激酶同工酶3
别名 Pyruvate dehydrogenase kinase isoform 3,Pdk3,CMTX6,GS1-358P8.4
Uniprot ID Q922H2
免疫原 小鼠PDK3重组蛋白
抗体亚型 IgG
纯化方式 亲和纯化
亚细胞定位 线粒体
预测分子量./观测分子量. 48 kDa / 45 kDa
应用
WB 免疫印迹
物种:小鼠,大鼠
稀释比:1:500-1:1000
阳性样品:—
IHC/IF 免疫组织化学/免疫荧光
物种:小鼠,大鼠
稀释比:1:2000-1:4000
阳性样品:心
背景
PDK3([Pyruvate dehydrogenase [lipoamide]] kinase isozyme 3, mitochondrial) is also named as PDHK3 and belongs to the PDK/BCKDK protein kinase family. It inhibits pyruvate dehydrogenase activity by phosphorylation of the E1 subunit PDHA1, and thereby regulates glucose metabolism and aerobic respiration. It has 2 isoforms produced by alternative splicing with the molecular weight of 47 and 48 kDa. This protein can exsit as a dimer with the molecular weight of 90 kDa.
储存条件
储存条件:储存条件在:-20℃下储存一年, 避免反复冻融.
储存缓冲液:含0.15% ProClin300防腐剂, 100 μg/mL牛血清白蛋白和50%甘油的磷酸盐缓冲液.
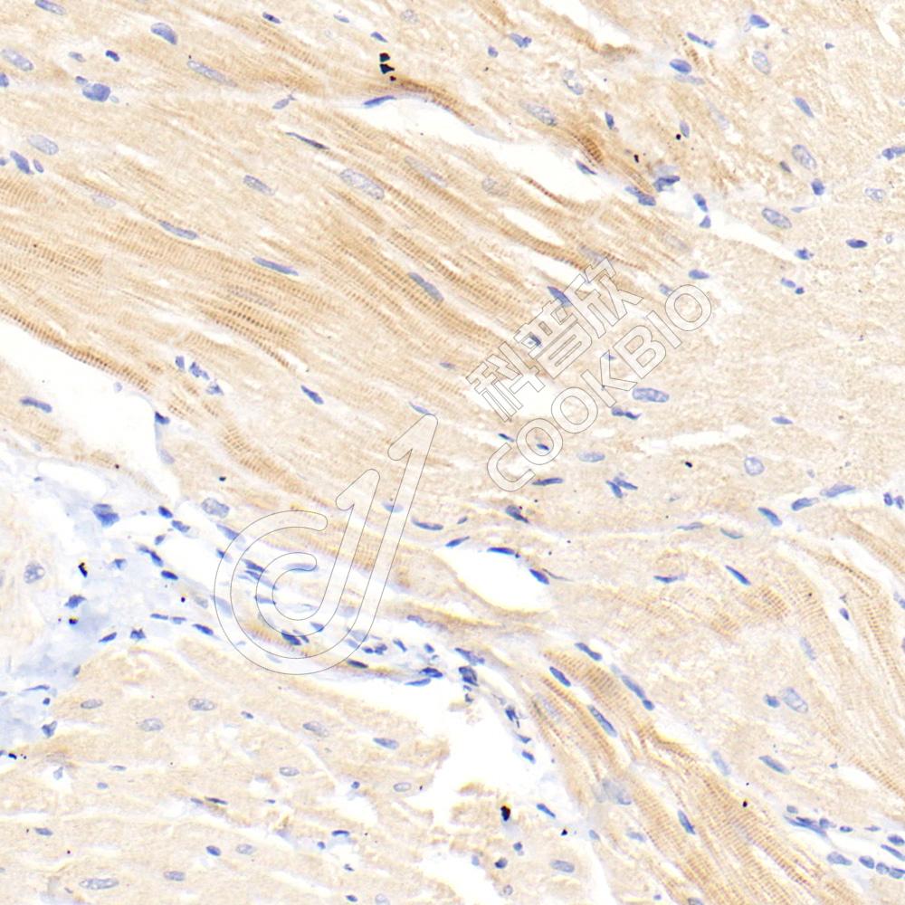
图像
IHC检测PDK3蛋白(货号 K1340455).
样品: 小鼠心, 4%多聚甲醛 (货号KSG1101) 固定12-24小时.
抗原修复: 柠檬酸抗原修复液(干粉, pH 6.0) (KSG1201), 98℃, 20分钟.
—抗: 1: 3000稀释, 4℃ 孵育过夜.
二抗: S-vision免疫组化多聚二抗(山羊抗兔),即用型 (货号KB3906), 室温孵育20分钟.
IHC检测PDK3蛋白(货号 K1340455).
样品: 大鼠心, 4%多聚甲醛 (货号KSG1101) 固定12-24小时.
抗原修复: 柠檬酸抗原修复液(干粉, pH 6.0) (KSG1201), 98℃, 20分钟.
—抗: 1: 3000稀释, 4℃ 孵育过夜.
二抗: S-vision免疫组化多聚二抗(山羊抗兔),即用型 (货号KB3906), 室温孵育20分钟.

需要技术支持?

如果您有任何问题或如果您在实验过程中遇到问题,或需要更详细的技术指导,请联系我们的技术支持团队
电话 400-6027-270

联系我们

如果您对我们的公司或产品有任何疑问,欢迎随时联系我们