tel 400-6027-270
Main Image
Anti-DECR2/PDCR 兔多克隆抗体
¥1900
加入对比
货号: K1339369-100
预测分子量: 31 kDa
观测分子量: 31 kDa
亚细胞定位: 过氧化物酶体
别名: 2,4 dienoyl CoA reductase 2,DECR2,PDCR,SDR17C1
应用 | 种属
WB M,R
IHC/IF M,R
规格:
产品信息
蛋白质全称 过氧化物酶体2,4-二烯酰辅酶A还原酶(3E-烯酰辅酶A生成型)
别名 2,4 dienoyl CoA reductase 2,DECR2,PDCR,SDR17C1
Uniprot ID Q9WV68
免疫原 小鼠DECR2/PDCR重组蛋白
抗体亚型 IgG
纯化方式 亲和纯化
亚细胞定位 过氧化物酶体
预测分子量./观测分子量. 31 kDa / 31 kDa
应用
WB 免疫印迹
物种:小鼠,大鼠
稀释比:1:1000-1:2000
阳性样品:—
IHC/IF 免疫组织化学/免疫荧光
物种:小鼠,大鼠
稀释比:1:4000-1:8000
阳性样品:小脑
背景
DECR2 is a 292 amino acid member of the short-chain dehydrogenases/reductases (SDR) protein family and the 2,4-dienoyl-CoA reductase protein subfamily. Localized to the peroxisome, DECR2 is an auxiliary enzyme of beta-oxidation that catalyzes the NADP-dependent reduction of 2,4-dienoyl-CoA to yield trans-3-enoyl-CoA. DECR2 has also been shown to have catalytic activity towards 2,4,7,10,13,16,19-docosaheptaenoyl-CoA and short and medium chain 2,4-dienoyl-CoAs, suggesting that DECR2 is not a rate limiting step in the degradation of docosahexaenoic acid in the peroxisome.
储存条件
储存条件:储存条件在:-20℃下储存一年, 避免反复冻融.
储存缓冲液:含0.15% ProClin300防腐剂, 100 μg/mL牛血清白蛋白和50%甘油的磷酸盐缓冲液.
图像
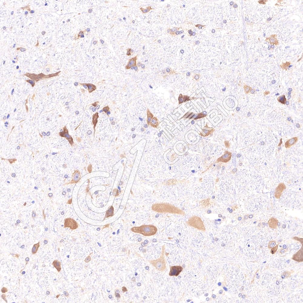
IHC检测DECR2/PDCR蛋白(货号 K1339369).
样品: 小鼠小脑, 4%多聚甲醛 (货号KSG1101) 固定12-24小时.
抗原修复: 柠檬酸抗原修复液(干粉, pH 6.0) (KSG1201), 高压锅均匀喷气计时2分钟.
—抗: 1: 6000稀释, 4℃ 孵育过夜.
二抗: S-vision免疫组化多聚二抗(山羊抗兔),即用型 (货号KB3906), 室温孵育20分钟.
IHC检测DECR2/PDCR蛋白(货号 K1339369).
样品: 大鼠小脑, 4%多聚甲醛 (货号KSG1101) 固定12-24小时.
抗原修复: 柠檬酸抗原修复液(干粉, pH 6.0) (KSG1201), 高压锅均匀喷气计时2分钟.
—抗: 1: 6000稀释, 4℃ 孵育过夜.
二抗: S-vision免疫组化多聚二抗(山羊抗兔),即用型 (货号KB3906), 室温孵育20分钟.

需要技术支持?

如果您有任何问题或如果您在实验过程中遇到问题,或需要更详细的技术指导,请联系我们的技术支持团队
电话 400-6027-270

联系我们

如果您对我们的公司或产品有任何疑问,欢迎随时联系我们