tel 400-6027-270
Main Image
Anti-TIMP2 兔多克隆抗体
¥1900
加入对比
货号: K1338010-100
预测分子量: 24 kDa
观测分子量: 24 kDa
亚细胞定位: 分泌型
别名: TIMP2,CSC-21K,DDC8,TIMP metallopeptidase inhibitor 2,CSC21K,Tissue Inhibitor of Metalloproteinase 2
应用 | 种属
WB H,M,R
IHC/IF M,R
ICC/IF H,M,R
规格:
产品信息
蛋白质全称 金属蛋白酶抑制因子2
别名 TIMP2,CSC-21K,DDC8,TIMP metallopeptidase inhibitor 2,CSC21K,Tissue Inhibitor of Metalloproteinase 2
Uniprot ID P16035
免疫原 KLH偶联的人TIMP2合成肽
抗体亚型 IgG
纯化方式 亲和纯化
亚细胞定位 分泌型
预测分子量./观测分子量. 24 kDa / 24 kDa
应用
WB 免疫印迹
物种:人,小鼠,大鼠
稀释比:1:500-1:1000
阳性样品:肾
IHC/IF 免疫组织化学/免疫荧光
物种:小鼠,大鼠
稀释比:1:300-1:800
阳性样品:肾
ICC/IF 免疫细胞化学/免疫荧光
物种:人,小鼠,大鼠
稀释比:1:100-1:400
阳性样品:—
背景
TIMP2 encoded by Timp2 gene are natural inhibitors of the matrix metalloproteinases (MMP), a group of peptidases involved in degradation of the extracellular matrix. In addition to an inhibitory role against metalloproteinases, it has a unique role among TIMP family members in its ability to directly suppress the proliferation of endothelial cells, which may be critical to the maintenance of tissue homeostasis by suppressing the proliferation of quiescent tissues in response to angiogenic factors, and by inhibiting protease activity in tissues undergoing remodelling of the extracellular matrix.
储存条件
储存条件:储存条件在:-20℃下储存一年, 避免反复冻融.
储存缓冲液:含0.15% ProClin300防腐剂, 100 μg/mL牛血清白蛋白和50%甘油的磷酸盐缓冲液.
图像
WB检测TIMP2蛋白(货号 K1338010).
样品: 经RIPA裂解液(货号KSG2002)处理的蛋白质.
封闭: 3%脱脂牛奶(货号KSGC310001)溶于TBST溶液, 室温孵育1小时.
—抗: 1: 1000稀释, 4℃ 孵育过夜.
二抗: HRP标记山羊抗兔IgG (H+L) (货号KB69909), 1: 5000稀释, 室温孵育1小时.
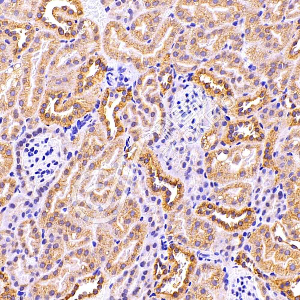
IHC检测TIMP2蛋白(货号 K1338010).
样品: 小鼠肾, 4%多聚甲醛 (货号KSG1101) 固定12-24小时.
抗原修复: 柠檬酸抗原修复液(干粉, pH 6.0) (KSG1201), 98℃, 20分钟.
—抗: 1: 600稀释, 4℃ 孵育过夜.
二抗: S-vision免疫组化多聚二抗(山羊抗兔),即用型 (货号KB3906), 室温孵育20分钟.
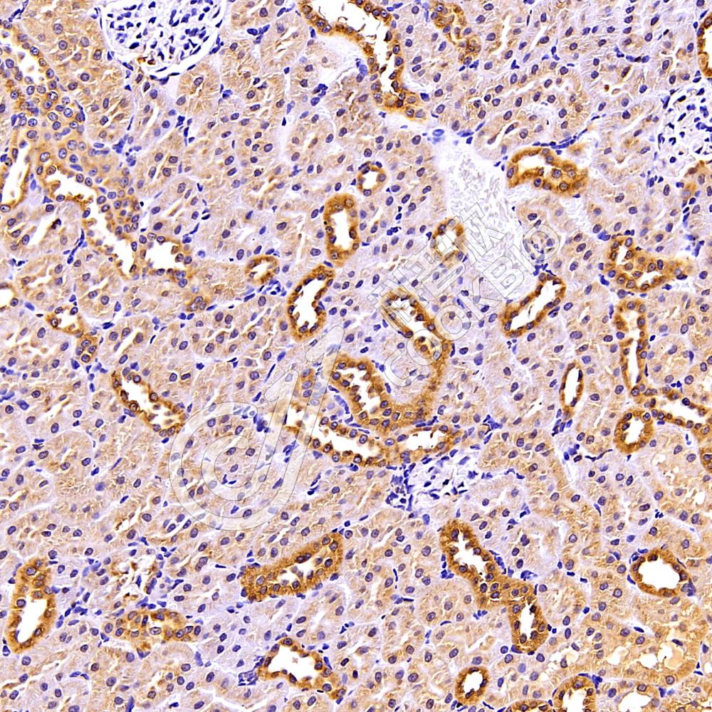
IHC检测TIMP2蛋白(货号 K1338010).
样品: 大鼠肾, 4%多聚甲醛 (货号KSG1101) 固定12-24小时.
抗原修复: 柠檬酸抗原修复液(干粉, pH 6.0) (KSG1201), 98℃, 20分钟.
—抗: 1: 600稀释, 4℃ 孵育过夜.
二抗: S-vision免疫组化多聚二抗(山羊抗兔),即用型 (货号KB3906), 室温孵育20分钟.

需要技术支持?

如果您有任何问题或如果您在实验过程中遇到问题,或需要更详细的技术指导,请联系我们的技术支持团队
电话 400-6027-270

联系我们

如果您对我们的公司或产品有任何疑问,欢迎随时联系我们