tel 400-6027-270
Main Image
Anti-Endomucin 兔多克隆抗体
¥1900
加入对比
货号: K1337944-100
预测分子量: 28 kDa
观测分子量: 28 kDa
亚细胞定位:
别名: Endomucin-1/2,Mucin-14,MUC-14,Emcn,Muc14,Endothelial sialomucin,Gastric cancer antigen Ga34
应用 | 种属
WB H,M
IHC/IF M,R
规格:
产品信息
蛋白质全称 内粘蛋白
别名 Endomucin-1/2,Mucin-14,MUC-14,Emcn,Muc14,Endothelial sialomucin,Gastric cancer antigen Ga34
Uniprot ID Q9R0H2
免疫原 小鼠Endomucin重组蛋白
抗体亚型 IgG
纯化方式 亲和纯化
亚细胞定位
预测分子量./观测分子量. 28 kDa / 28 kDa
应用
WB 免疫印迹
物种:人,小鼠
稀释比:1:500-1:1000
阳性样品:骨骼肌
IHC/IF 免疫组织化学/免疫荧光
物种:小鼠,大鼠
稀释比:1:600-1:1200
阳性样品:乳腺癌, 肺, 卵巢
背景
Endothelial sialomucin, also called endomucin or mucin-like sialoglycoprotein, which interferes with the assembly of focal adhesion complexes and inhibits interaction between cells and the extracellular matrix.
储存条件
储存条件:储存条件在:-20℃下储存一年, 避免反复冻融.
储存缓冲液:含0.15% ProClin300防腐剂, 100 μg/mL牛血清白蛋白和50%甘油的磷酸盐缓冲液.
图像
WB检测Endomucin蛋白(货号 K1337944).
样品: 经RIPA裂解液(货号KSG2002)处理的蛋白质.
封闭: 3%脱脂牛奶(货号KSGC310001)溶于TBST溶液, 室温孵育1小时.
—抗: 1: 500稀释, 4℃ 孵育过夜.
二抗: HRP标记山羊抗兔IgG (H+L) (货号KB69909), 1: 5000稀释, 室温孵育1小时.
IHC检测Endomucin蛋白(货号 K1337944).
样品: 大鼠肺, 4%多聚甲醛 (货号KSG1101) 固定12-24小时.
抗原修复: 柠檬酸抗原修复液(干粉, pH 6.0) (KSG1201), 高压锅均匀喷气计时2分钟.
—抗: 1: 900稀释, 4℃ 孵育过夜.
二抗: S-vision免疫组化多聚二抗(山羊抗兔),即用型 (货号KB3906), 室温孵育20分钟.
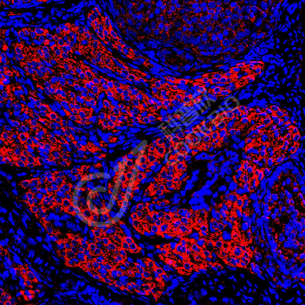
IF检测Endomucin蛋白(货号 K1337944)(红色).
样品: 人乳腺癌, 4%多聚甲醛 (货号KSG1101) 固定12-24小时.
抗原修复: Tris-EDTA抗原修复液(pH 9.0) (KSG1203), 98℃, 20分钟.
封闭: 3% BSA(货号KSGC305010)的PBS溶液, 室温孵育30分钟.
—抗: 1: 900稀释, 4℃ 孵育过夜.
二抗: Cy3标记山羊抗兔IgG (H+L) (货号KB63909), 1: 300稀释, 室温孵育1小时.
IF检测Endomucin蛋白(货号 K1337944)(红色).
样品: 小鼠肺, 4%多聚甲醛 (货号KSG1101) 固定12-24小时.
抗原修复: Tris-EDTA抗原修复液(pH 9.0) (KSG1203), 98℃, 20分钟.
封闭: 3% BSA(货号KSGC305010)的PBS溶液, 室温孵育30分钟.
—抗: 1: 900稀释, 4℃ 孵育过夜.
二抗: Cy3标记山羊抗兔IgG (H+L) (货号KB63909), 1: 300稀释, 室温孵育1小时.
IF检测Endomucin蛋白(货号 K1337944)(红色).
样品: 小鼠卵巢, 4%多聚甲醛 (货号KSG1101) 固定12-24小时.
抗原修复: Tris-EDTA抗原修复液(pH 9.0) (KSG1203), 98℃, 20分钟.
封闭: 3% BSA(货号KSGC305010)的PBS溶液, 室温孵育30分钟.
—抗: 1: 900稀释, 4℃ 孵育过夜.
二抗: Cy3标记山羊抗兔IgG (H+L) (货号KB63909), 1: 300稀释, 室温孵育1小时.
IF检测Endomucin蛋白(货号 K1337944)(红色).
样品: 大鼠卵巢, 4%多聚甲醛 (货号KSG1101) 固定12-24小时.
抗原修复: Tris-EDTA抗原修复液(pH 9.0) (KSG1203), 98℃, 20分钟.
封闭: 3% BSA(货号KSGC305010)的PBS溶液, 室温孵育30分钟.
—抗: 1: 900稀释, 4℃ 孵育过夜.
二抗: Cy3标记山羊抗兔IgG (H+L) (货号KB63909), 1: 300稀释, 室温孵育1小时.
ICC检测Endomucin蛋白(货号 K1337944)(红色).
样品: A431细胞, 4%多聚甲醛 (货号KSG1101) 固定20分钟.
封闭: 3% BSA(货号KSGC305010)的PBS溶液, 室温孵育30分钟.
—抗: 1: 900稀释, 4℃ 孵育过夜.
二抗: Cy3标记山羊抗兔IgG (H+L) (货号KB63909), 1: 300稀释, 室温孵育1小时.

需要技术支持?

如果您有任何问题或如果您在实验过程中遇到问题,或需要更详细的技术指导,请联系我们的技术支持团队
电话 400-6027-270

联系我们

如果您对我们的公司或产品有任何疑问,欢迎随时联系我们