tel 400-6027-270
Main Image
Anti-Sulfatase 2/SULF2 兔多克隆抗体
¥1900
加入对比
货号: K1336579-100
亚细胞定位: 内质网, 高尔基体
别名: mSulf-2,Sulf2,HSulf-2
应用 | 种属
IHC/IF H,R
规格:
产品信息
蛋白质全称 细胞外硫酸酯酶Sulf-2
别名 mSulf-2,Sulf2,HSulf-2
Uniprot ID Q8CFG0
免疫原 小鼠Sulfatase 2/SULF2重组蛋白
抗体亚型 IgG
纯化方式 亲和纯化
亚细胞定位 内质网, 高尔基体
应用
IHC/IF 免疫组织化学/免疫荧光
物种:人,大鼠
稀释比:1:500-1:1000
阳性样品:卵巢癌, 卵巢
背景
Sulfatase 2 exhibits arylsulfatase activity and highly specific endoglucosamine-6-sulfatase activity. It can remove sulfate from the C-6 position of glucosamine within specific subregions of intact heparin. It is expressed at highest levels in the ovary, skeletal muscle, stomach, brain, uterus, heart, kidney and placenta.
储存条件
储存条件:储存条件在:-20℃下储存一年, 避免反复冻融.
储存缓冲液:含0.15% ProClin300防腐剂, 100 μg/mL牛血清白蛋白和50%甘油的磷酸盐缓冲液.
图像
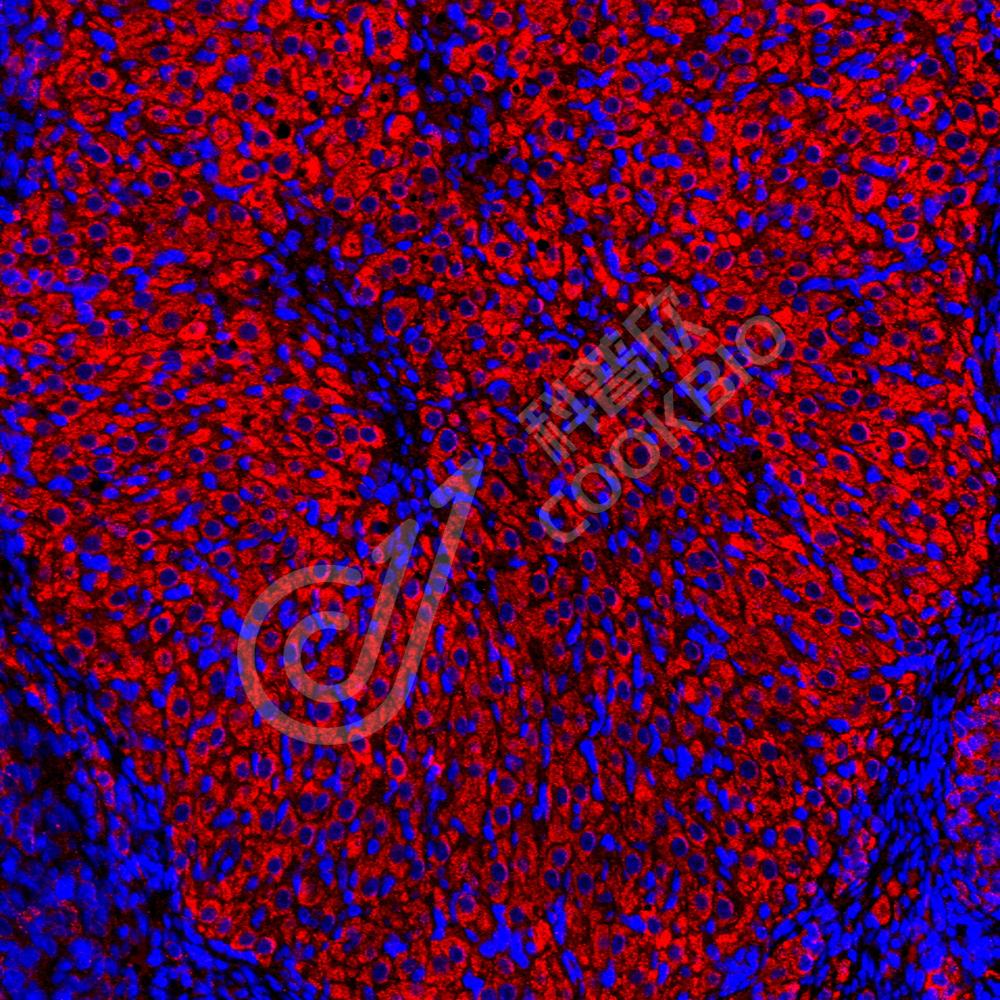
IF检测Sulfatase 2/SULF2蛋白(货号 K1336579)(红色).
样品: 人卵巢癌, 4%多聚甲醛 (货号KSG1101) 固定12-24小时.
抗原修复: Tris-EDTA抗原修复液(pH 9.0) (KSG1203), 98℃, 20分钟.
封闭: 3% BSA(货号KSGC305010)的PBS溶液, 室温孵育30分钟.
—抗: 1: 800稀释, 4℃ 孵育过夜.
二抗: Cy3标记山羊抗兔IgG (H+L) (货号KB63909), 1: 300稀释, 室温孵育1小时.
IF检测Sulfatase 2/SULF2蛋白(货号 K1336579)(红色).
样品: 大鼠卵巢, 4%多聚甲醛 (货号KSG1101) 固定12-24小时.
抗原修复: Tris-EDTA抗原修复液(pH 9.0) (KSG1203), 98℃, 20分钟.
封闭: 3% BSA(货号KSGC305010)的PBS溶液, 室温孵育30分钟.
—抗: 1: 800稀释, 4℃ 孵育过夜.
二抗: Cy3标记山羊抗兔IgG (H+L) (货号KB63909), 1: 300稀释, 室温孵育1小时.

需要技术支持?

如果您有任何问题或如果您在实验过程中遇到问题,或需要更详细的技术指导,请联系我们的技术支持团队
电话 400-6027-270

联系我们

如果您对我们的公司或产品有任何疑问,欢迎随时联系我们