tel 400-6027-270
Main Image
Anti-Galectin 8/Gal-8 兔多克隆抗体
¥1900
加入对比
货号: K1334971-100
亚细胞定位: 细胞质
别名: Gal-8,LGALS-8,Lgals8,Lectin galactoside binding soluble 8,Po66 carbohydrate-binding protein,Po66-CBP,Prostate carcinoma tumor antigen 1
应用 | 种属
IHC/IF M,R
规格:
产品信息
蛋白质全称 半乳糖凝集素-8
别名 Gal-8,LGALS-8,Lgals8,Lectin galactoside binding soluble 8,Po66 carbohydrate-binding protein,Po66-CBP,Prostate carcinoma tumor antigen 1
Uniprot ID Q9JL15
免疫原 小鼠 Galectin 8/Gal-8重组蛋白
抗体亚型 IgG
纯化方式 亲和纯化
亚细胞定位 细胞质
应用
IHC/IF 免疫组织化学/免疫荧光
物种:小鼠,大鼠
稀释比:1:500-1:2000
阳性样品:脑
背景
This gene encodes a member of the galectin family. Galectins are beta-galactoside-binding animal lectins with conserved carbohydrate recognition domains. The galectins have been implicated in many essential functions including development, differentiation, cell-cell adhesion, cell-matrix interaction, growth regulation, apoptosis, and RNA splicing. This gene is widely expressed in tumoral tissues and seems to be involved in integrin-like cell interactions. Alternatively spliced transcript variants encoding different isoforms have been identified.
储存条件
储存条件:储存条件在:-20℃下储存一年, 避免反复冻融.
储存缓冲液:含0.15% ProClin300防腐剂, 100 μg/mL牛血清白蛋白和50%甘油的磷酸盐缓冲液.
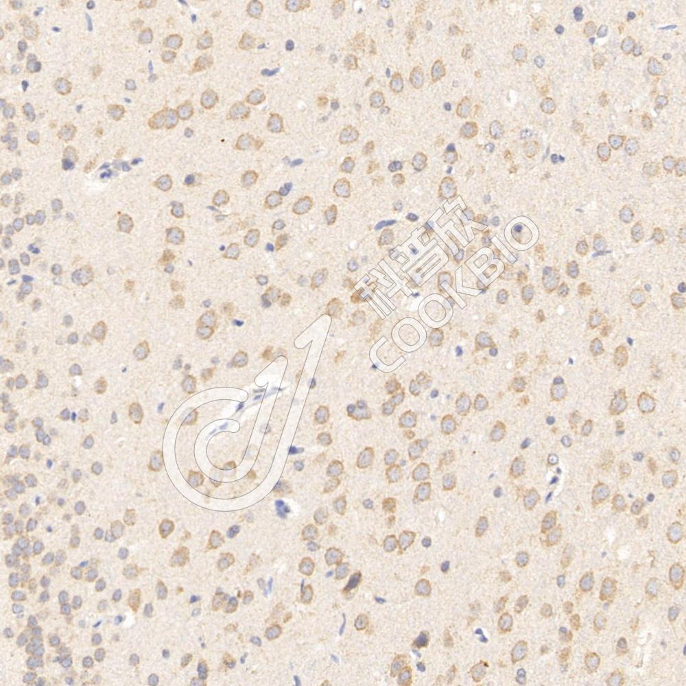
图像
IHC检测Galectin 8/Gal-8蛋白(货号 K1334971).
样品: 小鼠脑, 4%多聚甲醛 (货号KSG1101) 固定12-24小时.
抗原修复: 柠檬酸抗原修复液(干粉, pH 6.0) (KSG1201), 98℃, 20分钟.
—抗: 1: 1300稀释, 4℃ 孵育过夜.
二抗: S-vision免疫组化多聚二抗(山羊抗兔),即用型 (货号KB3906), 室温孵育20分钟.
IHC检测Galectin 8/Gal-8蛋白(货号 K1334971).
样品: 大鼠脑, 4%多聚甲醛 (货号KSG1101) 固定12-24小时.
抗原修复: 柠檬酸抗原修复液(干粉, pH 6.0) (KSG1201), 98℃, 20分钟.
—抗: 1: 1300稀释, 4℃ 孵育过夜.
二抗: S-vision免疫组化多聚二抗(山羊抗兔),即用型 (货号KB3906), 室温孵育20分钟.

需要技术支持?

如果您有任何问题或如果您在实验过程中遇到问题,或需要更详细的技术指导,请联系我们的技术支持团队
电话 400-6027-270

联系我们

如果您对我们的公司或产品有任何疑问,欢迎随时联系我们