tel 400-6027-270
Main Image
Anti-SCN4B 兔多克隆抗体
¥1900
加入对比
货号: K1334788-100
亚细胞定位: 细胞膜
别名: Scn4b,Gm1471,sodium channel,voltage gated,type IV beta subunit,voltage-gated,LQT10,Navbeta4,ATFB17
应用 | 种属
IHC/IF M,R
规格:
产品信息
蛋白质全称 钠通道β4亚基
别名 Scn4b,Gm1471,sodium channel,voltage gated,type IV beta subunit,voltage-gated,LQT10,Navbeta4,ATFB17
Uniprot ID Q7M729
免疫原 小鼠SCN4B重组蛋白
抗体亚型 IgG
纯化方式 亲和纯化
亚细胞定位 细胞膜
应用
IHC/IF 免疫组织化学/免疫荧光
物种:小鼠,大鼠
稀释比:1:2000-1:4000
阳性样品:脑
背景
The SCN4B protein modulates channel gating kinetics. Causes negative shifts in the voltage dependence of activation of certain alpha sodium channels, but does not affect the voltage dependence of inactivation. Modulates the susceptibility of the sodium channel to inhibition by toxic peptides from spider, scorpion, wasp and sea anemone venom.The protein has been found to be expressed at a high level in dorsal root ganglia, at a lower level in brain, spinal cord, skeletal muscle and heart.
储存条件
储存条件:储存条件在:-20℃下储存一年, 避免反复冻融.
储存缓冲液:含0.15% ProClin300防腐剂, 100 μg/mL牛血清白蛋白和50%甘油的磷酸盐缓冲液.
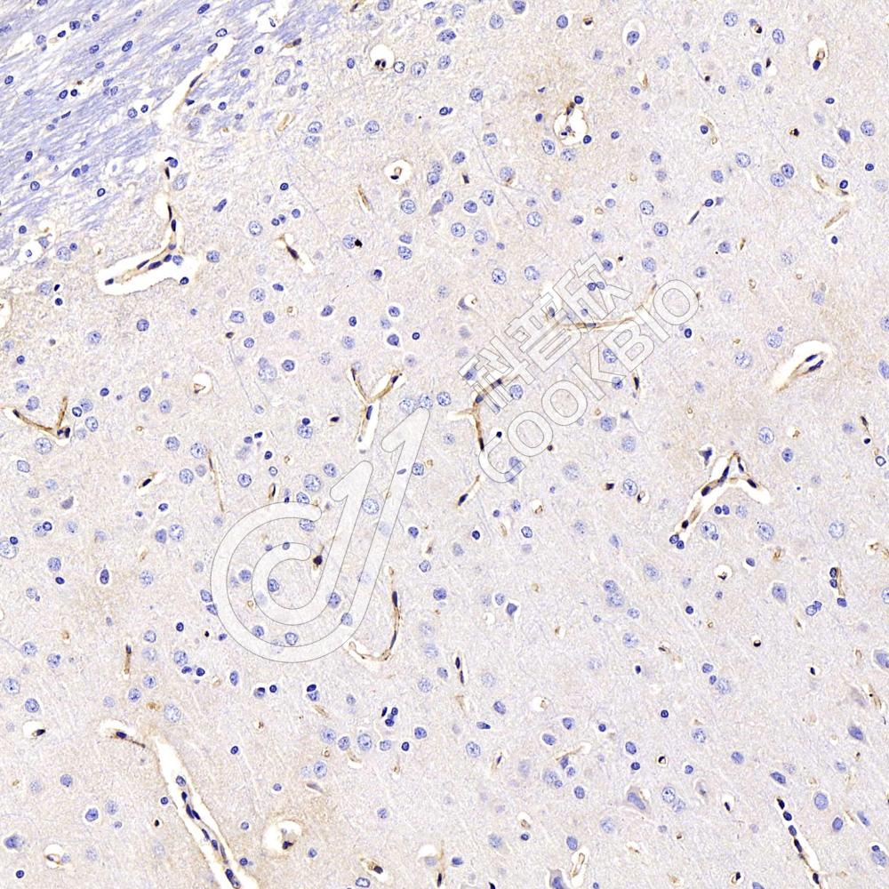
图像
IHC检测SCN4B蛋白(货号 K1334788).
样品: 小鼠脑, 4%多聚甲醛 (货号KSG1101) 固定12-24小时.
抗原修复: 柠檬酸抗原修复液(干粉, pH 6.0) (KSG1201), 98℃, 20分钟.
—抗: 1: 3000稀释, 4℃ 孵育过夜.
二抗: S-vision免疫组化多聚二抗(山羊抗兔),即用型 (货号KB3906), 室温孵育20分钟.
IHC检测SCN4B蛋白(货号 K1334788).
样品: 大鼠脑, 4%多聚甲醛 (货号KSG1101) 固定12-24小时.
抗原修复: 柠檬酸抗原修复液(干粉, pH 6.0) (KSG1201), 98℃, 20分钟.
—抗: 1: 3000稀释, 4℃ 孵育过夜.
二抗: S-vision免疫组化多聚二抗(山羊抗兔),即用型 (货号KB3906), 室温孵育20分钟.

需要技术支持?

如果您有任何问题或如果您在实验过程中遇到问题,或需要更详细的技术指导,请联系我们的技术支持团队
电话 400-6027-270

联系我们

如果您对我们的公司或产品有任何疑问,欢迎随时联系我们