tel 400-6027-270
Main Image
Anti-PI 3 Kinase catalytic subunit alpha/PIK3CA 兔多克隆抗体
¥1900
加入对比
货号: K135307-100
亚细胞定位: 细胞质, 细胞膜
别名: PIK3CA,CLOVE,CWS5,MCAP,MCM,MCMTC,PI3K,p110-alpha,PI3K-alpha,Phosphatidylinositol-4,5-bisphosphate 3-kinase catalytic subunit alpha,CLAPO,PI3-kinase subunit alpha,PtdIns-3-kinase subunit alpha,PtdIns-3-kinase subunit p110-alpha,pi3k,PI3K
应用 | 种属
IHC/IF H,M,R
规格:
产品信息
蛋白质全称 磷脂酰肌醇4,5-二磷酸3-激酶催化亚基α
别名 PIK3CA,CLOVE,CWS5,MCAP,MCM,MCMTC,PI3K,p110-alpha,PI3K-alpha,Phosphatidylinositol-4,5-bisphosphate 3-kinase catalytic subunit alpha,CLAPO,PI3-kinase subunit alpha,PtdIns-3-kinase subunit alpha,PtdIns-3-kinase subunit p110-alpha,pi3k,PI3K
Uniprot ID P42337
免疫原 小鼠PIK3CA重组蛋白
抗体亚型 IgG
纯化方式 亲和纯化
亚细胞定位 细胞质, 细胞膜
应用
IHC/IF 免疫组织化学/免疫荧光
物种:人,小鼠,大鼠
稀释比:1:500-1:2000
阳性样品:脑, 肝癌
背景
PI3-Kinases (PI3-Ks) are a family of lipid kinases that are implicated in signal transduction. Phosphatidylinositol 3-kinase is composed of an 85 kDa regulatory subunit and a 110 kDa catalytic subunit. The p85 subunit localize PI3-K activity to the plasma membrane while the p110 subunit contains the catalytic domain of PI3-K which uses ATP to phosphorylate PtdIns, PtdIns4P and PtdInsP2. Four isoforms of p110 has been found; alpha, beta, gamma, and the delta subunit.
储存条件
储存条件:储存条件在:-20℃下储存一年, 避免反复冻融.
储存缓冲液:含0.15% ProClin300防腐剂, 100 μg/mL牛血清白蛋白和50%甘油的磷酸盐缓冲液.
图像
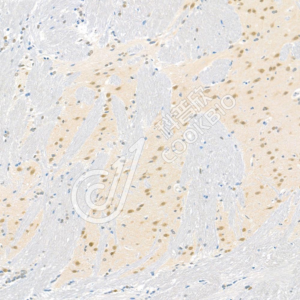
IHC检测PI 3 Kinase catalytic subunit alpha/PIK3CA蛋白(货号 K135307).
样品: 小鼠脑, 4%多聚甲醛 (货号KSG1101) 固定12-24小时.
抗原修复: 柠檬酸抗原修复液(干粉, pH 6.0) (KSG1201), 98℃, 20分钟.
—抗: 1: 1300稀释, 4℃ 孵育过夜.
二抗: S-vision免疫组化多聚二抗(山羊抗兔),即用型 (货号KB3906), 室温孵育20分钟.
IHC检测PI 3 Kinase catalytic subunit alpha/PIK3CA蛋白(货号 K135307).
样品: 大鼠脑, 4%多聚甲醛 (货号KSG1101) 固定12-24小时.
抗原修复: 柠檬酸抗原修复液(干粉, pH 6.0) (KSG1201), 98℃, 20分钟.
—抗: 1: 1300稀释, 4℃ 孵育过夜.
二抗: S-vision免疫组化多聚二抗(山羊抗兔),即用型 (货号KB3906), 室温孵育20分钟.
IF检测PI 3 Kinase catalytic subunit alpha/PIK3CA蛋白(货号 K135307)(红色).
样品: 人肝癌, 4%多聚甲醛 (货号KSG1101) 固定12-24小时.
抗原修复: Tris-EDTA抗原修复液(pH 9.0) (KSG1203), 98℃, 20分钟.
封闭: 3% BSA(货号KSGC305010)的PBS溶液, 室温孵育30分钟.
—抗: 1: 1300稀释, 4℃ 孵育过夜.
二抗: Cy3标记山羊抗兔IgG (H+L) (货号KB63909), 1: 300稀释, 室温孵育1小时.

需要技术支持?

如果您有任何问题或如果您在实验过程中遇到问题,或需要更详细的技术指导,请联系我们的技术支持团队
电话 400-6027-270

联系我们

如果您对我们的公司或产品有任何疑问,欢迎随时联系我们