tel 400-6027-270
Main Image
Anti-CD169(Sialoadhesin) 兔多克隆抗体
¥1900
加入对比
货号: K133897-100
亚细胞定位: 细胞膜, 分泌型
别名: Sialic Acid Binding Ig Like Lectin 1,Sialoadhesin,SIGLEC-1,SN,CD169
应用 | 种属
IHC/IF H,M,R
规格:
产品信息
蛋白质全称 唾液酸粘附素
别名 Sialic Acid Binding Ig Like Lectin 1,Sialoadhesin,SIGLEC-1,SN,CD169
Uniprot ID Q62230
免疫原 KLH偶联的小鼠CD169合成肽
抗体亚型 IgG
纯化方式 亲和纯化
亚细胞定位 细胞膜, 分泌型
应用
IHC/IF 免疫组织化学/免疫荧光
物种:人,小鼠,大鼠
稀释比:1:500-1:3000
阳性样品:脾, 扁桃体
背景
Acts as an endocytic receptor mediating clathrin dependent endocytosis. Macrophage-restricted adhesion molecule that mediates sialic-acid dependent binding to lymphocytes, including granulocytes, monocytes, natural killer cells, B-cells and CD8 T-cells. Preferentially binds to alpha-2,3-linked sialic acid (By similarity). Binds to SPN/CD43 on T-cells (By similarity). May play a role in hemopoiesis.
储存条件
储存条件:储存条件在:-20℃下储存一年, 避免反复冻融.
储存缓冲液:含0.15% ProClin300防腐剂, 100 μg/mL牛血清白蛋白和50%甘油的磷酸盐缓冲液.
图像
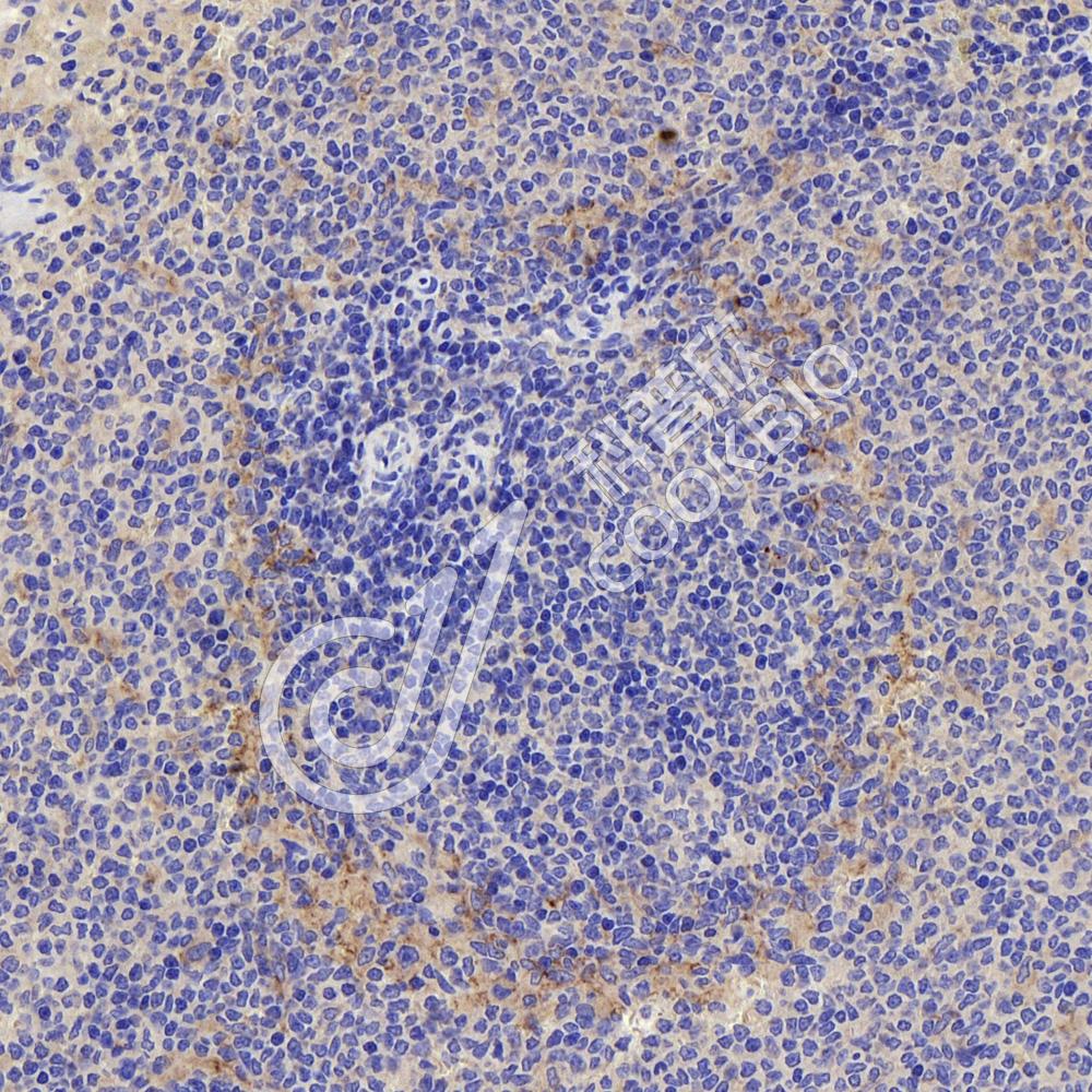
IHC检测CD169(Sialoadhesin)蛋白(货号 K133897).
样品: 人扁桃体, 4%多聚甲醛 (货号KSG1101) 固定12-24小时.
抗原修复: 柠檬酸抗原修复液(干粉, pH 6.0) (KSG1201), 98℃, 20分钟.
—抗: 1: 1800稀释, 4℃ 孵育过夜.
二抗: S-vision免疫组化多聚二抗(山羊抗兔),即用型 (货号KB3906), 室温孵育20分钟.
IHC检测CD169(Sialoadhesin)蛋白(货号 K133897).
样品: 大鼠脾, 4%多聚甲醛 (货号KSG1101) 固定12-24小时.
抗原修复: 柠檬酸抗原修复液(干粉, pH 6.0) (KSG1201), 98℃, 20分钟.
—抗: 1: 1800稀释, 4℃ 孵育过夜.
二抗: S-vision免疫组化多聚二抗(山羊抗兔),即用型 (货号KB3906), 室温孵育20分钟.

需要技术支持?

如果您有任何问题或如果您在实验过程中遇到问题,或需要更详细的技术指导,请联系我们的技术支持团队
电话 400-6027-270

联系我们

如果您对我们的公司或产品有任何疑问,欢迎随时联系我们