tel 400-6027-270
Main Image
Anti-MAP2 兔多克隆抗体
¥1900
加入对比
货号: K133384-2-100
亚细胞定位: 细胞质, 细胞骨架, 细胞突起
别名: MAP2,MAP2A,MAP2B,MAP2C,microtubule associated protein 2
应用 | 种属
IHC/IF M,R
规格:
产品信息
蛋白质全称 微管相关蛋白2
别名 MAP2,MAP2A,MAP2B,MAP2C,microtubule associated protein 2
Uniprot ID O08663
免疫原 KLH偶联的小鼠MAP2合成肽
抗体亚型 IgG
纯化方式 亲和纯化
亚细胞定位 细胞质, 细胞骨架, 细胞突起
应用
IHC/IF 免疫组织化学/免疫荧光
物种:小鼠,大鼠
稀释比:1:500-1:3000
阳性样品:脑
背景
The proteins of this family are thought to be involved in microtubule assembly, which is an essential step in neuritogenesis. MAP2 serves to stabilize microtubules (MT) growth by crosslinking MT with intermediate filaments and other MTs. The products of similar genes in rat and mouse are neuron-specific cytoskeletal proteins that are enriched in dendrites, implicating a role in determining and stabilizing dendritic shape during neuron development. A number of alternatively spliced variants encoding distinct isoforms have been described.
储存条件
储存条件:储存条件在:-20℃下储存一年, 避免反复冻融.
储存缓冲液:含0.15% ProClin300防腐剂, 100 μg/mL牛血清白蛋白和50%甘油的磷酸盐缓冲液.
图像
IHC检测MAP2蛋白(货号 K133384-2).
样品: 小鼠脑, 4%多聚甲醛 (货号KSG1101) 固定12-24小时.
抗原修复: 柠檬酸抗原修复液(干粉, pH 6.0) (KSG1201), 98℃, 20分钟.
—抗: 1: 1800稀释, 4℃ 孵育过夜.
二抗: S-vision免疫组化多聚二抗(山羊抗兔),即用型 (货号KB3906), 室温孵育20分钟.
IHC检测MAP2蛋白(货号 K133384-2).
样品: 猴脑, 4%多聚甲醛 (货号KSG1101) 固定12-24小时.
抗原修复: 柠檬酸抗原修复液(干粉, pH 6.0) (KSG1201), 98℃, 20分钟.
—抗: 1: 1800稀释, 4℃ 孵育过夜.
二抗: S-vision免疫组化多聚二抗(山羊抗兔),即用型 (货号KB3906), 室温孵育20分钟.
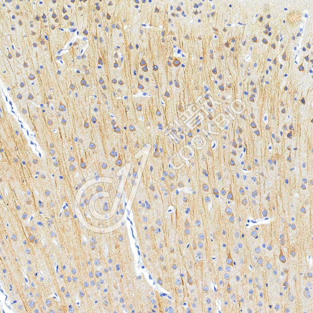
IHC检测MAP2蛋白(货号 K133384-2).
样品: 大鼠脑, 4%多聚甲醛 (货号KSG1101) 固定12-24小时.
抗原修复: 柠檬酸抗原修复液(干粉, pH 6.0) (KSG1201), 98℃, 20分钟.
—抗: 1: 1800稀释, 4℃ 孵育过夜.
二抗: S-vision免疫组化多聚二抗(山羊抗兔),即用型 (货号KB3906), 室温孵育20分钟.

需要技术支持?

如果您有任何问题或如果您在实验过程中遇到问题,或需要更详细的技术指导,请联系我们的技术支持团队
电话 400-6027-270

联系我们

如果您对我们的公司或产品有任何疑问,欢迎随时联系我们