tel 400-6027-270
Main Image
Anti-p38 兔多克隆抗体
¥1900
加入对比
货号: K133015-100
亚细胞定位: 细胞核, 细胞质
别名: Mitogen-activated protein kinase p38 alpha, MAP kinase 14, CRK1, Mapk14, MAP kinase p38 alpha, Crk1, Csbp1, Csbp2, P38, CSBP, CSBP1, CSBP2, CSPB1, EXIP, Mxi2,PRKM14,PRKM15, mitogen-activated protein
应用 | 种属
IHC/IF H,M,R
规格:
产品信息
蛋白质全称 丝裂原活化蛋白激酶14
别名 Mitogen-activated protein kinase p38 alpha, MAP kinase 14, CRK1, Mapk14, MAP kinase p38 alpha, Crk1, Csbp1, Csbp2, P38, CSBP, CSBP1, CSBP2, CSPB1, EXIP, Mxi2,PRKM14,PRKM15, mitogen-activated protein
Uniprot ID P47811
免疫原 KLH偶联的小鼠p38合成肽
抗体亚型 IgG
纯化方式 亲和纯化
亚细胞定位 细胞核, 细胞质
应用
IHC/IF 免疫组织化学/免疫荧光
物种:人, 小鼠, 大鼠
稀释比:1: 1000-1: 2000
阳性样品:结肠, 胃癌, 肾
背景

P38 MAP kinase is the mammalian homologue of the yeast HOG kinase and participates in a cascade controlling cellular responses to cytokines and stress. Like the SAPK/JNK pathway, P38 MAP kinase is activated by a variety of cellular stresses including inflammatory cytokines, UV light and growth factors, etc. Activated p38 MAP kinase has been shown to phosphorylate and activate MAPKAP kinase-2 and to phosphorylate the transcription factors ATF-2 and Max.                                        

储存条件
储存条件:储存条件在:-20℃下储存一年, 避免反复冻融.
储存缓冲液:含0.15% ProClin300防腐剂, 100 μg/mL牛血清白蛋白和50%甘油的磷酸盐缓冲液.
图像
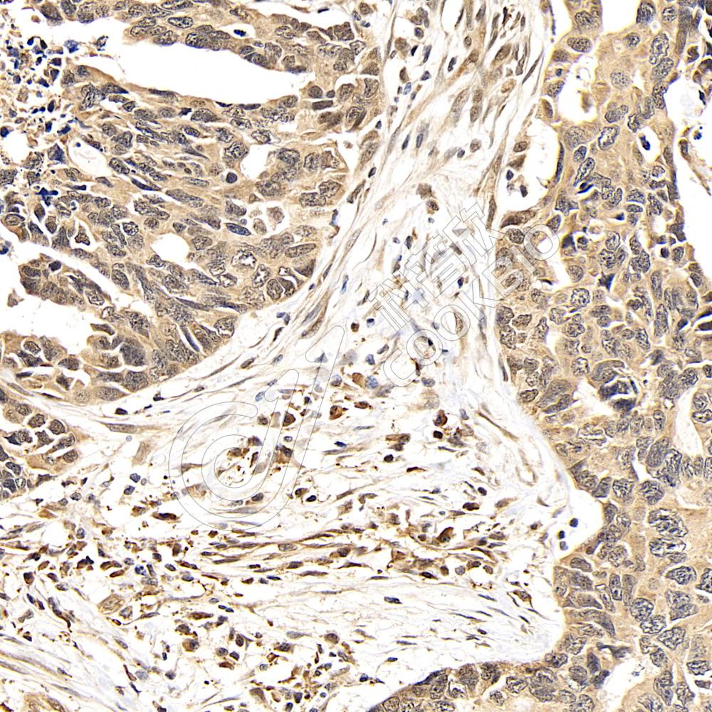
IHC检测p38蛋白(货号 K133015).
样品: 人结肠, 4%多聚甲醛 (货号KSG1101) 固定12-24小时.
抗原修复: 柠檬酸抗原修复液(干粉, pH 6.0) (KSG1201), 98℃, 20分钟.
—抗: 1: 1500稀释, 4℃ 孵育过夜.
二抗: S-vision免疫组化多聚二抗(山羊抗兔),即用型 (货号KB3906), 室温孵育20分钟.
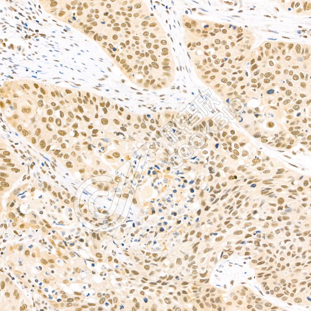
IHC检测p38蛋白(货号 K133015).
样品: 人胃癌, 4%多聚甲醛 (货号KSG1101) 固定12-24小时.
抗原修复: 柠檬酸抗原修复液(干粉, pH 6.0) (KSG1201), 98℃, 20分钟.
—抗: 1: 1500稀释, 4℃ 孵育过夜.
二抗: S-vision免疫组化多聚二抗(山羊抗兔),即用型 (货号KB3906), 室温孵育20分钟.
IHC检测p38蛋白(货号 K133015).
样品: 小鼠肾, 4%多聚甲醛 (货号KSG1101) 固定12-24小时.
抗原修复: 柠檬酸抗原修复液(干粉, pH 6.0) (KSG1201), 98℃, 20分钟.
—抗: 1: 1500稀释, 4℃ 孵育过夜.
二抗: S-vision免疫组化多聚二抗(山羊抗兔),即用型 (货号KB3906), 室温孵育20分钟.
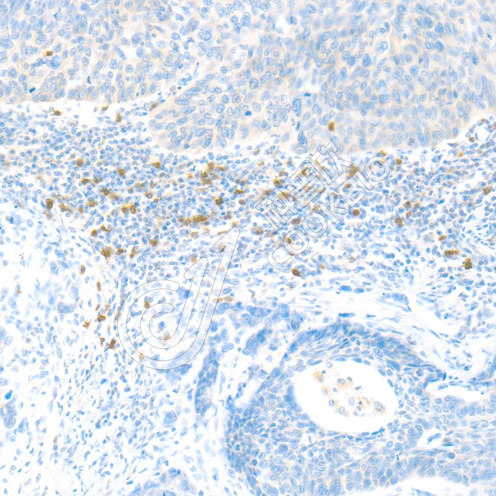
IHC检测p38蛋白(货号 K133015).
样品: 小鼠睾丸, 4%多聚甲醛 (货号KSG1101) 固定12-24小时.
抗原修复: 柠檬酸抗原修复液(干粉, pH 6.0) (KSG1201), 98℃, 20分钟.
—抗: 1: 1500稀释, 4℃ 孵育过夜.
二抗: S-vision免疫组化多聚二抗(山羊抗兔),即用型 (货号KB3906), 室温孵育20分钟.
1 K133015_P38_15716101402_d1500_H colon_30.0x_IHC.jpg
IHC检测p38蛋白(货号 K133015).
样品: 人结肠, 4%多聚甲醛 (货号KSG1101) 固定12-24小时.
抗原修复: 柠檬酸抗原修复液(干粉, pH 6.0) (KSG1201), 98℃, 20分钟.
—抗: 1: 1500稀释, 4℃ 孵育过夜.
二抗: S-vision免疫组化多聚二抗(山羊抗兔),即用型 (货号KB3906), 室温孵育20分钟.
2 K133015_P38_S98023051605_d1500_H gastric carcinoma_20.0x_IHC.jpg
"IHC检测p38蛋白(货号 K133015).
样品: 人胃癌, 4%多聚甲醛 (货号KSG1101) 固定12-24小时.
抗原修复: 柠檬酸抗原修复液(干粉, pH 6.0) (KSG1201), 98℃, 20分钟.
—抗: 1: 1500稀释, 4℃ 孵育过夜.
二抗: S-vision免疫组化多聚二抗(山羊抗兔),即用型 (货号KB3906), 室温孵育20分钟."
3 K133015_P38_S98023051605_d1500_M kidney_32.7x_IHC.jpg
"IHC检测p38蛋白(货号 K133015).
样品: 小鼠肾, 4%多聚甲醛 (货号KSG1101) 固定12-24小时.
抗原修复: 柠檬酸抗原修复液(干粉, pH 6.0) (KSG1201), 98℃, 20分钟.
—抗: 1: 1500稀释, 4℃ 孵育过夜.
二抗: S-vision免疫组化多聚二抗(山羊抗兔),即用型 (货号KB3906), 室温孵育20分钟."
4 K133015_P38_S98023051605_d1500_M testis_40x_IHC.jpg
"IHC检测p38蛋白(货号 K133015).
样品: 小鼠睾丸, 4%多聚甲醛 (货号KSG1101) 固定12-24小时.
抗原修复: 柠檬酸抗原修复液(干粉, pH 6.0) (KSG1201), 98℃, 20分钟.
—抗: 1: 1500稀释, 4℃ 孵育过夜.
二抗: S-vision免疫组化多聚二抗(山羊抗兔),即用型 (货号KB3906), 室温孵育20分钟."

需要技术支持?

如果您有任何问题或如果您在实验过程中遇到问题,或需要更详细的技术指导,请联系我们的技术支持团队
电话 400-6027-270

联系我们

如果您对我们的公司或产品有任何疑问,欢迎随时联系我们